RĂNG KHẤP KHỂNH CÓ DÁN SỨ VENEER ĐƯỢC KHÔNG?

Tình trạng răng khấp khểnh, lệch lạc không chỉ gây mất thẩm mỹ mà còn ảnh hưởng đến chức năng ăn nhai và vệ sinh răng miệng. Một trong những phương pháp cải thiện răng khấp khểnh được ưu chuộng nhất hiện nay không thể không kể đến dán sứ Veneer. Tuy nhiên, liệu 100% trường hợp răng khấp khểnh có dán sứ Veneer được không?Trường hợp nào nên thực hiện và trường hợp nào cần can thiệp khác? Cùng Nha khoa Nụ Cười Việt tìm hiểu trong bài viết dưới đây.

1. Tình trạng răng khấp khểnh

Răng khấp khểnh là tình trạng răng mọc không đúng vị trí trên cung hàm, mọc có xu hướng nhô ra phía trước hoặc chen chúc lẫn nhau. Nhiều trường hợp răng khểnh bị lệch quá nhiều gây sai lệch khớp cắn làm mất thẩm mỹ, ảnh hưởng tới quá trình ăn uống hằng ngày.

răng khấp khểnh là gì và hậu quả

Hậu quả tiềm ẩn của răng khấp khểnh nếu không điều trị sớm

  • Vệ sinh khó khăn & Bệnh lý răng miệng: Răng chồng chéo tạo khe hở khuất, là "ổ" tích tụ mảng bám, gây sâu răng mặt bên, viêm nướu, viêm nha chu và hôi miệng.
  • Sai lệch khớp cắn & Đau khớp thái dương hàm: Hai hàm không khớp nhau gây áp lực lên khớp thái dương hàm, dẫn đến mỏi hàm, đau đầu, đau cổ vai gáy.
  • Giảm hiệu suất ăn nhai: Thức ăn không được nghiền nát kỹ, gây áp lực lên hệ tiêu hóa (đau dạ dày).
  • Mất thẩm mỹ nụ cười: Làm khuôn mặt thiếu cân đối, gây tự ti trong giao tiếp

Bởi vậy, khi gặp phải tình trạng răng khấp khểnh, việc điều trị là cần thiết để bảo vệ sức khỏe răng miệng lâu dài.

2. Dán sứ Veneer - phương pháp thẩm mỹ răng sứ 

Dán sứ Veneer là một kỹ thuật phục hình đòi hỏi độ chính xác cực cao. Phương pháp này sử dụng các mặt dán sứ siêu mỏng (từ 0.2mm - 0.5mm) để dán lên bề mặt ngoài của răng bằng keo dán nha khoa chuyên dụng.

răng khấp khểnh dán sứ veneer có được không

Điểm khác biệt cốt lõi khiến Veneer trở thành lựa chọn ưu tiên tại Nha khoa Nụ Cười Việt chính là triết lý "Mài răng tối thiểu - Bảo tồn răng thật tối đa". Thay vì mài toàn bộ thân răng như bọc sứ, bác sĩ chỉ xử lý một lớp siêu mỏng trên bề mặt men răng, thậm chí có những ca dán sứ không mài răng. Điều này giúp bảo vệ tủy răng tuyệt đối, không gây ê buốt và giữ lại trọn vẹn sức mạnh của răng thật. Với độ trong mờ tự nhiên và khả năng phản chiếu ánh sáng tương đương men răng thật, Veneer giúp che đi các khuyết điểm về hình dáng và màu sắc một cách hoàn hảo.

3. Răng khấp khểnh có dán sứ Veneer được không?

Thực tế, dán sứ cho răng lệch lạc là một kỹ thuật khó, chỉ mang lại hiệu quả trong các trường hợp cụ thể:

1. Trường hợp CÓ THỂ thực hiện dán sứ Veneer

Do miếng dán Veneer chỉ dày từ 0.2 - 0.5mm nên mặt dán sứ sẽ phát huy tác dụng tốt nhất khi răng gặp các vấn đề lệch lạc ở mức độ nhẹ và đơn giản:

  • Răng bị khấp khểnh nhẹ, không xoay hoặc chen chúc quá mức.

  • Răng thưa kẽ nhẹ hoặc có rìa cắn không đều.

  • Khớp cắn chuẩn, không mắc trường hợp lệch khớp cắn như hô, móm nặng.

  • Không có thói quen nghiến răng khi ngủ (hoặc đã được kiểm soát bằng máng chống nghiến).

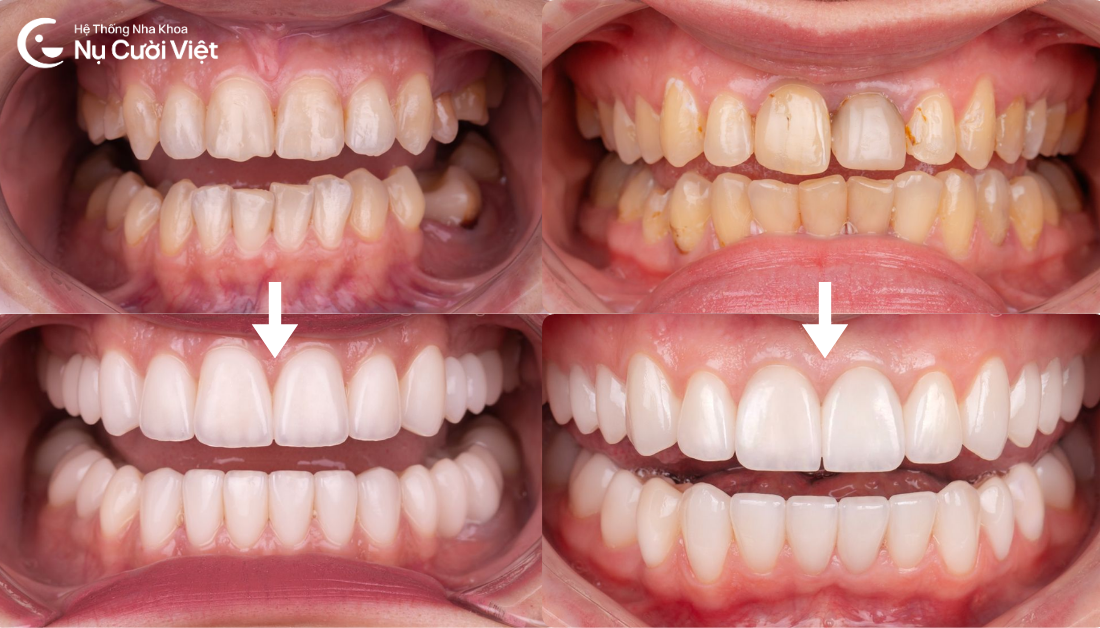
dán sứ răng khấp khểnhHình ảnh dán sứ khắc phục tình trạng răng khấp khểnh nhẹ

Trong những trường hợp này, bác sĩ sẽ tính toán tỉ mỉ để điều chỉnh nhẹ nhàng những phần nhô ra và đắp thêm sứ vào những phần lõm vào, tạo nên một cung răng đều đặn mà vẫn đảm bảo độ dày mặt sứ tiêu chuẩn.

2. Trường hợp KHÔNG NÊN (Hoặc Chống chỉ định) dán sứ Veneer

Nếu răng khấp khểnh ở mức độ trung bình đến nặng, việc cố tình dán sứ sẽ để lại những hệ lụy nghiêm trọng:

  • Răng chồng chéo quá mức: Để làm phẳng mặt ngoài, bác sĩ buộc phải mài sâu vào lớp ngà răng, thậm chí chạm đến tủy. Điều này vi phạm nguyên tắc bảo tồn, gây đau buốt.

  • Sai lệch khớp cắn nặng: Lực nhai tác động không đều dễ làm bong tróc hoặc vỡ mặt dán sứ.

  • Bệnh lý răng miệng: Phải điều trị dứt điểm viêm nha chu, viêm nướu trước khi can thiệp thẩm mỹ.

răng khấp khểnh là gì

Răng khấp khểnh ở mức độ trung bình đến nặng không thể dán sứ Veneer

4. Phương pháp khắc phục răng khấp khểnh tối ưu khác

Bên cạnh dán sứ Veneer cho những trường hợp nhẹ, dựa trên tình trạng thực tế của từng khách hàng, bác sĩ sẽ có thể chỉ định một trong hai phương pháp chính dưới đây để tối ưu hóa kết quả thẩm mỹ:

1. Niềng răng (Chỉnh nha)

Đối với những trường hợp răng khấp khểnh từ trung bình đến nặng, niềng răng luôn là giải pháp được các bác sĩ ưu tiên hàng đầu. Niềng răng sử dụng hệ thống mắc cài hoặc khay niềng trong suốt (Invisalign) để dịch chuyển răng về đúng vị trí trên cung hàm mà không cần mài răng.

  • Ưu điểm: Bảo tồn 100% răng thật, điều chỉnh được cả khớp cắn, mang lại kết quả bền vững trọn đời.

  • Nhược điểm: Thời gian thực hiện lâu (từ 12 - 24 tháng). Tuy nhiên, sau khi niềng răng đều, nếu khách hàng muốn răng trắng sáng hơn, hoàn toàn có thể kết hợp dán sứ Veneer để đạt độ thẩm mỹ hoàn hảo.

2. Bọc răng sứ thẩm mỹ

Bọc răng sứ là phương pháp sử dụng mão sứ chụp lên toàn bộ cùi răng thật đã được mài bớt. So với dán sứ Veneer, bọc sứ có khả năng điều hướng răng khấp khểnh tốt hơn ở mức độ trung bình.

  • Ưu điểm: Thời gian thực hiện nhanh (chỉ từ 2-4 ngày), cải thiện cả trục răng và màu sắc răng một cách toàn diện.

  • Nhược điểm: Tỷ lệ mài răng nhiều hơn so với dán sứ. Tuy nhiên, với công nghệ hiện đại tại Nụ Cười Việt, việc mài răng luôn được kiểm soát ở mức tối thiểu để không ảnh hưởng đến tuổi thọ của răng.

5. Nụ Cười Việt - Địa Chỉ Nha Khoa Uy Tín Tại Miền Trung

Việc dán sứ cho răng khấp khểnh đòi hỏi kỹ thuật cực kỳ tinh tế và sự tính toán chuẩn xác từ bác sĩ. Tại khu vực miền Trung, Hệ thống Nha khoa Nụ Cười Việt tự hào là địa chỉ tin cậy được hàng ngàn khách hàng lựa chọn nhờ những thế mạnh vượt trội:

1. Đội ngũ bác sĩ chuyên thẩm mỹ răng sứ 

Đội ngũ bác sĩ tại Nụ Cười Việt không chỉ có nền tảng kiến thức chuyên môn sâu rộng mà còn có đôi mắt thẩm mỹ tinh tường. Các bác sĩ luôn lắng nghe nguyện vọng của khách hàng, từ đó thiết kế dáng răng phù hợp với khuôn mặt, màu da và cá tính riêng của mỗi người, đảm bảo triết lý “Xâm lấn tối thiểu, bảo tồn tối đa”.

2. Trang thiết bị hiện đại

Để đạt được hiệu quả điều trị hoàn hảo, Nụ Cười Việt không ngừng đầu tư vào hệ thống máy móc, sở hữu công nghệ mới nhất vào điều trị như: máy chụp phim CT Cone Beam 3D, công nghệ can dấu răng iTero Lumina Pro, công nghệ thiết kế nụ cười cá nhân hóa Digital Smile Design (DSD) cho phép khách hàng có thể thảo luận và xem trước kết quả nụ cười tương lai.

Điều này giúp bác sĩ lập kế hoạch điều trị chuẩn xác, dự đoán trước kết quả và hạn chế tối đa việc mài răng không cần thiết. Thiết kế hình dáng, tỷ lệ và màu sắc răng sứ phù hợp với từng khuôn mặt, giới tính, độ tuổi và phong cách cá nhân. Nhờ đó, hàm răng sau khi dasnn sứ không chỉ đều đẹp mà còn tự nhiên, hài hòa như răng thật.

3. Vật liệu chính hãng

100% các dòng mặt dán sứ Veneer tại Nụ Cười Việt đều được nhập khẩu chính hãng. Vật liệu có độ bền cao, tính tương hợp sinh học tốt, không gây kích ứng nướu và không bị xỉn màu theo thời gian.

Cam kết chính sách bảo hành dài hạn lên đến 10 năm cho các dịch vụ dán sứ Veneer cao cấp. Đồng hành cùng bạn trong suốt quá trình sử dụng, sẵn sàng hỗ trợ mọi vấn đề phát sinh một cách nhanh chóng nhất.

4. Chi phí thanh toán rõ ràng

Mọi chi phí dán sứ Veneer tại Nụ Cười Việt đều được niêm yết công khai, minh bạch và tư vấn kỹ lưỡng ngay từ đầu, cam kết không phát sinh bất kỳ khoản phụ phí nào trong suốt quá trình điều trị. Bên cạnh đó, chúng tôi còn triển khai các chương trình hỗ trợ trả góp lãi suất 0%, giúp quý khách hàng dễ dàng tiếp cận giải pháp thẩm mỹ răng sứ chất lượng cao mà không cần quá lo lắng về áp lực tài chính một lần.

5. Hệ thống vô trùng khép kín, hiện đại

Để đảm bảo an toàn tuyệt đối cho khách hàng, Nụ Cười Việt đầu tư hệ thống vô trùng đạt chuẩn Bộ Y tế. Mỗi khách hàng được sử dụng một bộ dụng cụ riêng biệt, đã qua quy trình khử khuẩn nghiêm ngặt, loại bỏ hoàn toàn nguy cơ lây nhiễm chéo, đảm bảo môi trường điều trị an toàn, sạch sẽ và chuyên nghiệp nhất cho mọi khách hàng.

Tóm lại, răng khấp khểnh có dán sứ được không phụ thuộc vào mức độ sai lệch của răng. Để có câu trả lời chính xác nhất và nhận phác đồ điều trị cá nhân hóa, hãy đến với Nha khoa Nụ Cười Việt ngay hôm nay để được thăm khám 1:1 MIỄN PHÍ cùng chuyên gia nhé!